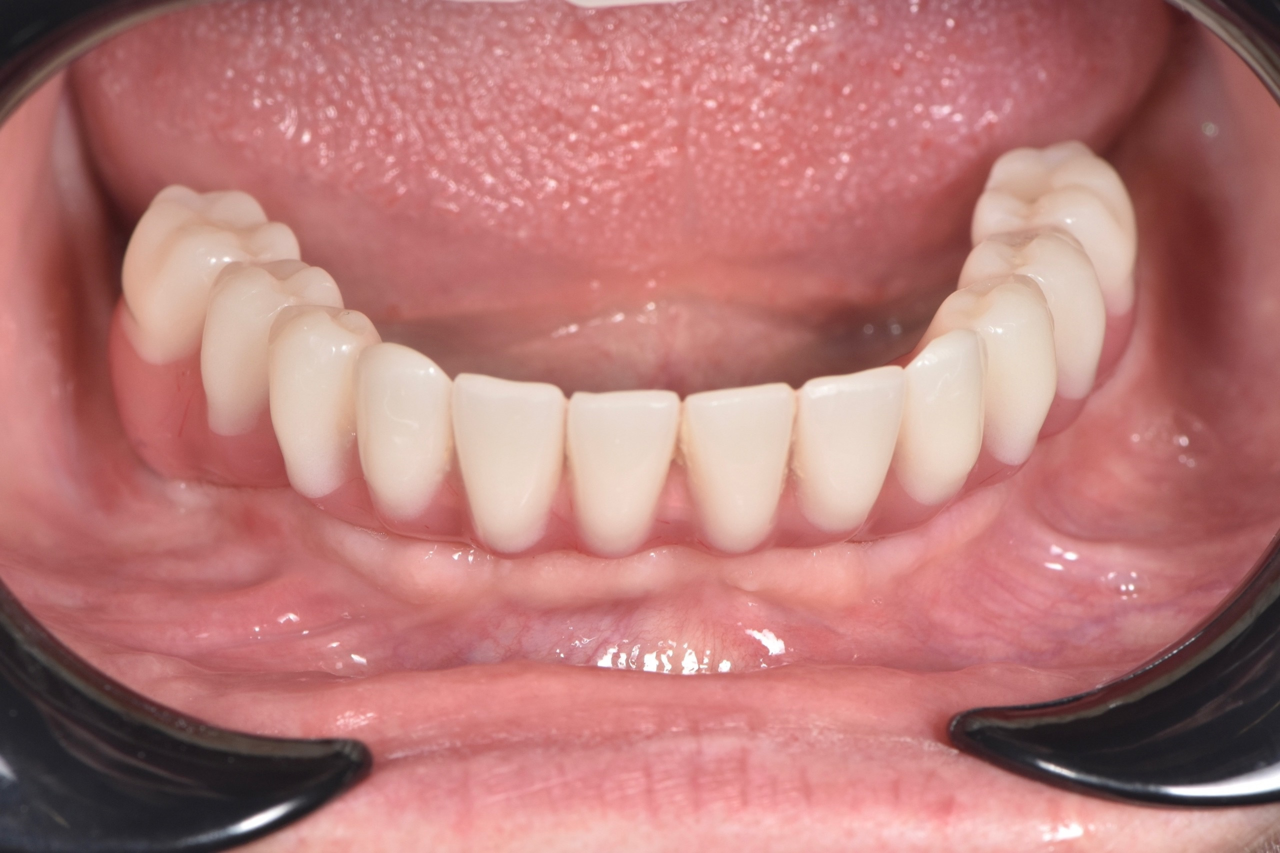
- Восстановление зубов за 1 день.
- Абсолютно без боли.
- В 4 раза дешевле обычной имплантации.
Имплантация
по протоколу
ALL-ON-4
Надежность
Предсказуемость
Доступность
Имплантация по протоколу all-on-4 - это всегда тщательно спланированная операция, которая выполняется с применением цифровых технологий и только с навигационным шаблоном. В специальной компьютерной программе осуществляется определение наилучших мест установки имплантатов с учетом особенностей зубочелюстной системы: объём костной ткани, расположение гайморовых пазух, нервов и др., а так же размера и угла наклона имплантатов. При таком подходе удается избежать ошибок в ходе операции,
а также сделать ее максимально безопасной и атравматичной.
а также сделать ее максимально безопасной и атравматичной.
Использование всего четырех опор для установки полного протеза может вызывать вопросы о надежности такого подхода. Однако исследования и клинический опыт показывают, что метод all-on-4 является весьма надежным. Основное преимущество технологии заключается в уникальной расстановке опор, что позволяет достичь максимальной стабильности и долговечности протеза.
В сравнении с полным протезированием
на имплантатах технология all-on-4 более доступна из-за использования меньшего количества опор и исключения дополнительных операций.
на имплантатах технология all-on-4 более доступна из-за использования меньшего количества опор и исключения дополнительных операций.
Преимущества
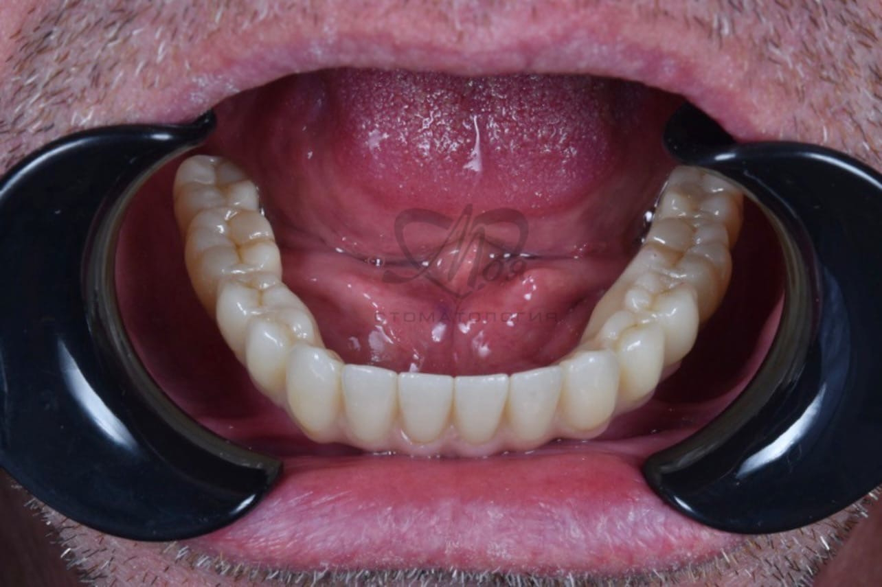
Врач проводит снятие слепков для изготовления временной или постоянной конструкции в нашей зуботехнической лаборатории.
В течение суток вы сможете начать не только улыбаться, но и есть.
В течение суток вы сможете начать не только улыбаться, но и есть.
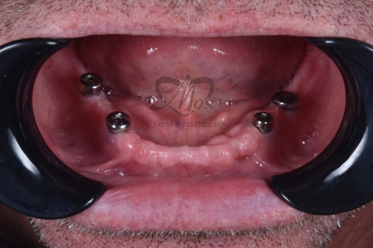
После проведения анестезии происходит удаление остатков зубов
и несъемных конструкций (протезов, коронок). Далее навигационный шаблон фиксируется в полости рта, по направляющим делаются проколы и производится внедрение имплантатов в костную ткань. Врач накладывает швы и отпускает пациента.
и несъемных конструкций (протезов, коронок). Далее навигационный шаблон фиксируется в полости рта, по направляющим делаются проколы и производится внедрение имплантатов в костную ткань. Врач накладывает швы и отпускает пациента.
Используя данные компьютерной томографии и сканирования, программное обеспечение создает детальную модель челюсти, учитывая все индивидуальные особенности.
При помощи 3D-моделирования стоматолог, согласно оценке параметров костной ткани и строения челюстей, выбирает места для установки имплантатов, подбирает необходимый размер, определяет угол наклона. Специалисты зуботехнической лаборатории изготавливают шаблон, используя специальное программное обеспечение и оборудование.
При помощи 3D-моделирования стоматолог, согласно оценке параметров костной ткани и строения челюстей, выбирает места для установки имплантатов, подбирает необходимый размер, определяет угол наклона. Специалисты зуботехнической лаборатории изготавливают шаблон, используя специальное программное обеспечение и оборудование.
На основании диагностических данных врач составляет индивидуальный план восстановления зубного ряда с подсчетом итоговой стоимости.
Осмотр полости рта хирургом-имплантологом, изучение снимков и консультация.
5. Изготовление протезов
4. Операция
3. Подготовка к операции
2. Составление плана лечения
1. Консультация врача и диагностика
Как проходит процедура
* Цены на сайте носят информационный характер и не являются публичной офертой. Подробности уточняйте по тел.: +7(8332)66-04-10
** Каждое посещение предполагает оплату осмотра в размере 400 ₽
– титановая балка
– протез из диоксида циркония
– протез из диоксида циркония
ALL-ON-4
от 340 000 ₽
от 200 000 ₽
– литая балка
– акриловый протез
– акриловый протез
ALL-ON-4
Услуги и цены
Специалисты
Запишитесь на прием
к нашим специалистам
к нашим специалистам
Оставьте свои данные и мы свяжемся
с вами в ближайшее время
с вами в ближайшее время
Контакты
Услуги
Связь
Меню
© 2023 Сеть стоматологий "Моя Стоматология" в г. Киров.
Все права защищены.
Все права защищены.
Информация
почта
соцсети
Пн-Пт 08:00 – 20:00
Сб выходной
Вс 09:00 – 15:00
Сб выходной
Вс 09:00 – 15:00
Пн-Пт 08:00 – 20:00
Сб 09:00 – 15:00
Вс выходной
Сб 09:00 – 15:00
Вс выходной
г. Киров,
ул. Мопра, д. 39
ул. Мопра, д. 39
г. Киров,
ул. Преображенская, д. 82/1
ул. Преображенская, д. 82/1
Время работы
Время работы
Телефон
Телефон
Адрес клиники
Адрес клиники